Uma bebé nascida em Hong Kong foi operada, com apenas três semanas de idade, pois estava “grávida” de gémeos. Um caso insólito e raro que já ocorreu em 2010, mas que só agora é divulgado.
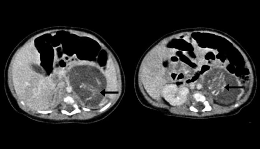
A divulgação desta história inacreditável foi feita pelo Hong Kong Medical Journal que relata a operação cirúrgica que permitiu a remoção dos dois fetos minúsculos que cresciam no estômago da bebé de apenas três semanas.
Os fetos removidos do corpo da bebé tinham 10 semanas de gestação, possuindo pernas, braços, espinal medula, a caixa das costelas, intestinos, órgãos genitais ambíguos e tecido cerebral primitivo. Estariam também ambos cobertos por pele e cada qual tinha o seu cordão umbilical, ambos ligados a uma placenta. Um deles pesaria 14,2 gramas e o outro 9,3 gramas.
A menina nasceu no Hospital Queen Elizabeth, em Hong Kong, de pais chineses com uma condição denominada como Fetos em feto que tem uma ocorrência de um para 500 mil nascimentos. Só foram reportados cerca de 200 casos em todo o mundo, o que dá para perceber a raridade da situação.
“Foi quase impossível de detectar durante os exames pré-natais, já que o embrião dentro do bebé era muito pequeno”, explica o especialista de ginecologia e obstetrícia Yu Kai-man, citado pelo jornal Mirror.
“Como é impossível para a pequena bebé ter concebido a gravidez de moto próprio, a fertilização dos fetos gémeos pertence, claro, aos seus pais e foi para o sítio errado”, acrescenta o médico no mesmo diário.
Este tipo de situação experimentado pela bebé chinesa é classificado pela Organização Mundial de Saúde como um tipo de cancro e acredita-se que pode ter sido motivado por diversos abortos sofridos pela mãe da bebé operada.

Sê o(a) primeiro(a) a comentar